
مجمع الملك عبدالله الطبي بجدة ينجح في استئصال ورم نادر وعالي الخطورة أسفل القلب بالمنظار
نجح فريق طبي متخصص في جراحة الصدر بمجمع الملك عبدالله الطبي، عضو تجمع جدة الصحي الثاني، بفضل الله، في استئصال ورم نادر وعالي الخطورة بحجم 15 سم من الجهة اليمنى لتجويف الصدر، وذلك باستخدام تقنية المنظار الجراحي، في عملية دقيقة استغرقت 4 ساعات تكللت بالنجاح التام ولله الحمد.
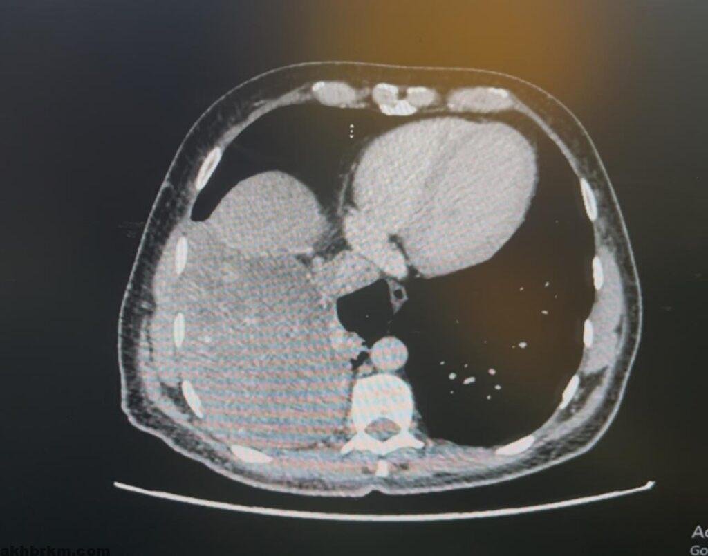
وكان المريض، البالغ من العمر 52 عامًا، قد راجع عيادات جراحة الصدر الخارجية بالمجمع وهو يعاني من أعراض مزمنة تمثلت في كحة مستمرة وارتفاع في درجة الحرارة. وبعد إجراء الفحوصات الطبية والأشعة المقطعية، تبين وجود ورم كبير يغطي النصف السفلي من تجويف الصدر، وملتصق بالفص الأوسط والسفلي من الرئة والحجاب الحاجز، ويلامس الوريد الأجوف السفلي الواقع أسفل القلب، مما زادت درجة الخطورة على حياته الصحية.
وعلى الفور تمت دراسة الحالة مع فريق جراحة الأوعية الدموية، حيث تم وضع خطة علاجية دقيقة تحسبًا لاحتمالية التصاق الورم بالأوعية الدموية الكبرى. وتم تنويم المريض بشكل عاجل وتجهيزه لنقله إلى غرفة العمليات الجراحية، ذلك لإجراء عملية باستخدام المنظار الجراحي للصدر مع إجراء فتحة جانبية للمساعدة في إخراج الورم نظرًا لضخامته.
وخلال العملية، تمكن الفريق الطبي من فصل الورم عن الرئة والحجاب الحاجز وكذلك عن القلب والوريد الأجوف السفلي دون حدوث مضاعفات، في إنجاز طبي يعكس كفاءة الكوادر الصحية بالمجمع.
وغادر المريض المستشفى في اليوم الرابع من العملية بعد تحسن حالته الصحية، على أن يواصل المتابعة الدورية في العيادات الخارجية وفق الجدول المحدد.
ويأتي هذا النجاح امتدادًا للتميز الطبي الذي يقدمه مجمع الملك عبدالله الطبي في مختلف التخصصات، ضمن رؤية المنظومة الصحية في المملكة للارتقاء بجودة الرعاية الصحية وخدمة المرضى بكفاءة عالية .




